ESPECIALIDADES
01 Prótesis dentales
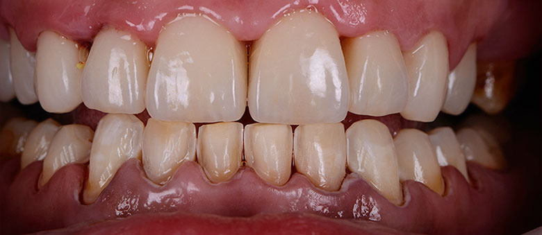
En nuestra práctica podemos utilizar diferentes tipos de prótesis dentales. La elección final de cada una de ellas dependerá tanto de nuestra recomendación y consejos para el caso específico, así como también de tus necesidades y posibilidades.
Prótesis fijas. Prótesis removibles. Prótesis mixtas.
02 Ortodoncia
Ortodoncia Lingual: colocaremos los brackets en la cara lingual o palatina, es decir en la parte interna de tus dientes.
Ortodoncia vestibular estética: colocaremos los brackets sobre la cara vestibular, es decir sobre superficie externa de los dientes.
Ortodoncia Lingual. Ortodoncia Vestibular estética.
03 Odontopediatría
En Innovadent contamos con consultorios y aparatología especial para tratar a los niños de una manera adecuada. Sabemos que el tipo de tratamiento que un niño necesita debe ser diferente al de un adulto, por eso practicamos esta especialidad con total cuidado, conciencia y responsabilidad.
04 Periodoncia
La Periodoncia es la especialidad que nos permite prevenir, diagnosticar y tratar las enfermedades que puedan afectar a los tejidos que soportan las piezas dentarias, desde las encías hasta el hueso (se la llama enfermedad periodontal).
05 Endodoncia
Esta especialidad nos permite salvar las piezas dentarias de una extracción, extirpando la parte dañada y dejando a la pieza en condiciones óptimas para su restauración.
Todos los procedimientos que realizamos son indoloros, ya que siempre utilizamos la anestesia adecuada para cada situación.
06 Cirugías Dentales
En nuestros consultorios, contando con aparatología de última generación y nuestro respaldo de absoluto profesionalismo y excelencia, realizamos todo tipo de cirugías, ayudados siempre por una solución anestésica de calidad que sea específica para tu situación.
También realizamos cirugías preproteticas, que son necesarias al momento de preparar la base, bien ya sea para un implante o para poder luego, en una segunda instancia, colocar una prótesis dental.
07 Ortopedia
Es una disciplina que emplea aparatología de tipo removible para tratar problemas específicos que la ortodoncia fija no puede solucionar.
En Innovadent creemos en la importancia de tratar este tipo de problemáticas a tiempo para evitar consecuencias directas en tu salud dentaria, y además es indispensable para tu desempeño general dentro de las exigencias de la vida moderna.
